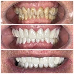
Certified Dental Clinics for Implants and All-on-4
At Pass2Wellness, we work exclusively with certified dental clinics in Los Algodones, Mexico. All dental clinics are carefully selected based on experience, hygiene standards, advanced technology, and proven results in dental implants, All-on-4, and full-mouth restorations. ● Licensed and experienced dentists ● Advanced dental technology ● International hygiene standards ● Proven results with USA and Canada patients
